Dermatology Done Differently—With You in Mind.
From Breakouts to Bald Spots—We’ve Got You Covered.
-

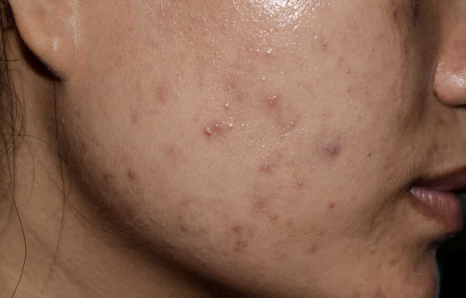
Mild Acne
Target breakouts at the source with customized treatments designed to calm inflammation, reduce congestion, and rebalance your skin. Our medspa offers a blend of compounded medications & medical-grade skincare to gently clear mild acne while supporting long-term skin health.
-

Hyperpigmentation
Fade dark spots and even out your skin tone with targeted treatments designed to address sun damage, post-acne marks, and melasma. Using advanced modalities like chemical peels, laser therapy, and medical-grade skincare, we help restore a brighter, more balanced complexion safely and effectively.
-

Telogen Effluvium (Stress Induced Hair Loss)
Experiencing sudden hair shedding or thinning? Our targeted treatments for telogen effluvium focus on stimulating hair regrowth, improving scalp health, and addressing underlying triggers like stress or hormonal shifts. With a combination of scalp therapies, supplements, and lifestyle guidance, we help you restore your hair’s natural strength and fullness.
-

Pitted Acne Scarring
Acne scarring occurs when breakouts damage the skin and the tissue beneath it. While some blemishes heal without leaving a trace, others—especially more severe or inflamed acne—can leave lasting textural changes or discoloration.
When acne penetrates deeply into the skin, it damages both the skin’s surface and the underlying tissue. As your body tries to heal the damage, it produces collagen—too little or too much of it can cause a scar.
-

Keratosis Pilaris (KP)
DescriptioWe offer specialized treatments to help reduce the appearance of keratosis pilaris (KP) and smooth rough, bumpy skin. Using advanced procedures like exfoliating chemical peels, laser therapy, and microneedling, we address the buildup of keratin that causes those pesky bumps on the skin. In addition to in-office treatments, we incorporate medical-grade products that help soften the skin, reduce inflammation, and prevent new bumps from forming, ensuring long-term results. Our expert team tailors each treatment plan to your skin type, providing a smoother, more even texture and clearer complexion.n goes here
-

Seborrheic Dermatitis
A common skin condition that causes redness, scaling, and flaking, often on the scalp, face, or other oily areas. Our treatments include topical therapies, and laser treatments designed to reduce inflammation, control oil production, and soothe irritated skin. We also incorporate medical-grade products that help manage flare-ups, moisturize the skin, and support long-term control. Our expert team works with you to develop a treatment plan that provides relief and helps restore a balanced, healthy complexion.

